Description
ZEISS VISUCAM PRO NM Expanding your retina assessment capabilities
You need to make efficient and reliable diagnoses for a range of typical eye diseases every day. Incorporating excellent technologies and a wide variety of imaging modes in a single system, the VISUCAM® PRO NM from ZEISS, is the ideal tool to support you in your decisions. Now even more so – with the new fundus autofluorescence (FAF) capability. A noninvasive diagnostic technique, FAF delivers images of superb quality for diagnosing specific diseases such as the progression of dry AMD and geographic atrophy. The valuable information they provide enable clear diagnoses in support of successful treatments.

- Noninvasive method
- Requires no contrast agents
- Just as simple as color imaging
FAF – Simple interpretation
- Hyperfluorescence indicates high levels of lipofuscin (i.e. RPE under stress)
- Hypofluorescence indicates an absence of lipofuscin (i.e. RPE atrophy)
FAF – Key clinical applications1
- Quick, precise assessments of retinal pigment epithelium (RPE) health
- Ideal for early detection of AMD and other fundus disorders
- Visualization of geographic atrophy and retinal detachment
- Visualization of central serous chorioretinopathy (CSCR)
- Detection of hereditary retinal dystrophies (e.g. Stargardt’s and Best disease)
- Detection of hydroxychloroquine toxicity changes • Assessment of choroidal nevi and melanomas
A great visual display of information
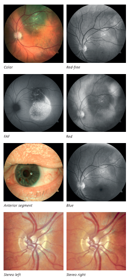
| The ZEISS VISUCAM PRO NM is highly regarded in many practices around the world, especially for its imaging versatility, the high-quality visualizations it delivers, and the detailed information they contain.
Excellent imaging capabilities In terms of image mode versatility, the ZEISS VISUCAM PRO NM is unsurpassed within its class.
Easy and convenient The system is easy to operate.
|
![]() |
Technical Specifications
| Capture Sensor | Professional-grade CCD, 5.0 Megapixels |
| Field Angles | 45° and 30 |
| Pupil Diameter | Normal: $\phi$ 4.0 mm / Small Pupil (SP): $\phi$ 3.3 mm |
| Working Distance | 40 mm |
| Diopter Compensation | -35 D to +35 D (continuous) |
| Capture Modes | Color, Red-free, Blue, Red, Stereo, and Anterior Segment |
| Internal Fixation | Programmed sequences or freely positionable |
| Display | 17″ Integrated flat screen monitor |
| Storage | Integrated PC with Windows (approx. 60,000 images) |
| Weight | 30 kg (Basic system) |












